
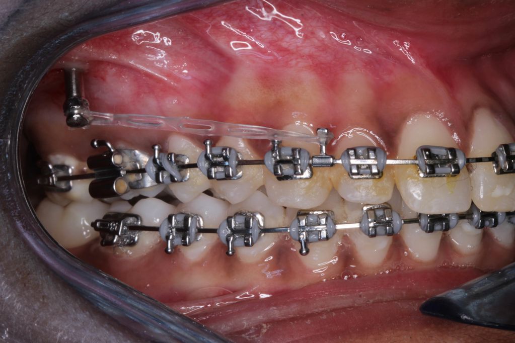
T loop - Individual Canine retraction

Piggyback Technique - Impacted Canine

Rapid Maxillary Expansion

IZC Distalization

Buccal shelf Distalization

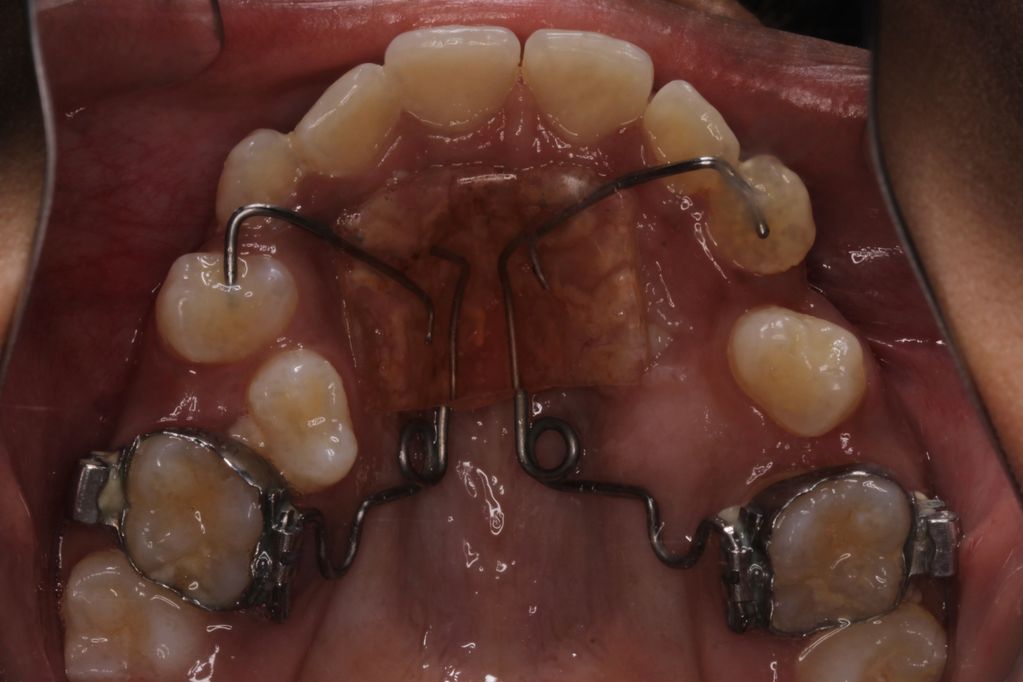
Pendulum Appliance - Distalization
We use cookies to analyze website traffic and optimize your website experience. By accepting our use of cookies, your data will be aggregated with all other user data.